Es gibt wohl kaum eine anspruchsvollere Art der Inspektion als die Untersuchung der Verteilung von Additiven und Modifikatoren nach deren Einarbeitung in Bitumen mit einem optischen Mikroskop. Sie werden standardmäßig eingebracht, um dem Material spezifische Eigenschaften für verschiedene Bauprojekte zu verleihen und so die funktionale, wirtschaftliche und ökologische Leistung zu optimieren. Beim Pflastern und Dachdecken ergeben sich so zahlreiche Vorteile. Beispielsweise kann die Zugabe von Polymeren, Fasern, Füllstoffen und anderen Mitteln zur Veränderung der Struktur von Bitumen die Haltbarkeit und Langlebigkeit erhöhen, wodurch Reparaturen seltener erforderlich sind, die Anwendungstechniken verbessert werden, um Verschwendung zu minimieren, oder eine durchlässige bebaute Umgebung mit wirksameren Entwässerungseigenschaften geschaffen werden kann.
Der Geschäftsbereich Industrial Solutions des weltweit tätigen Unternehmens Nikon Corporation () ist daher stolz darauf, in Zusammenarbeit mit einem seiner Kunden, WISTEMA, einem Spezialisten für Bitumenadditive und -modifikatoren mit Sitz in Dielheim, einen wesentlichen Beitrag zur Verbesserung der Qualitätskontrolle in diesem Bereich geleistet zu haben. Diese Zusammenarbeit besteht bereits seit mehr als 35 Jahren.
Nachdem verschiedene Inhaltsstoffe, insbesondere Polymere wie SBS (Styrol-Butadien-Styrol) und APP (ataktisches Polypropylen), in Bitumen eingebracht wurden, verbessern sie dessen intrinsische Eigenschaften erheblich. Dazu gehören eine höhere Beständigkeit gegen Spurrinnenbildung, eine geringere Rissbildung bei niedrigen Temperaturen und eine verbesserte Haftung. Es ist jedoch wichtig, den Einfluss der Mischbedingungen wie Temperatur und Zeit auf die Verteilung der Additive und deren Wechselwirkung mit Bitumen zu verstehen, um die Herstellungsparameter zu optimieren und so die ideale Struktur und Leistung zu erzielen. Eine gleichmäßige Verteilung der Zusätze in der Grundmasse ist wünschenswert, unabhängig davon, ob diese kugelförmig oder dendritisch sind. Eine Agglomeration gilt es zu vermeiden, da sie Schwachstellen verursacht, die die Integrität des Bitumens beeinträchtigen würden.

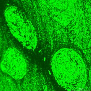
WISTEMA nutzt Fluoreszenzmikroskopiegeräte von Nikon, um die physikalischen Eigenschaften von Bitumen nach der Verarbeitung mit Additiven zu untersuchen. Dabei handelt es sich um eine hochentwickelte wissenschaftliche Untersuchungsmethode. Eine Probe des Materials wird aufgeschnitten und die zuvor innen liegende Oberfläche unter hochfrequentem Lichteinfall betrachtet, um herauszufinden, wie sich die Zusatzstoffe verteilt haben. Die meisten dieser Polymere sind entweder von Natur aus fluoreszierend oder können chemisch so modifiziert werden, dass sie bei Bestrahlung mit bestimmten Wellenlängen fluoreszieren. Umgekehrt weist Bitumen selbst in der Regel nur eine sehr schwache oder gar keine Photolumineszenz auf. Auf Grund dieser unterschiedlichen Eigenschaften können die Forscher das Bitumen, das auf dem Bild dunkel oder schwarz erscheint, von der polymerreichen Phase, die leuchtet, visuell unterscheiden. Das Fluoreszenzmikroskop von Nikon kann diese freigesetzten Photonen einfangen und ein Bild erzeugen, das die Form, Größe und Verteilung der Einschlüsse innerhalb der Grundmasse zeigt.

Das Hauptaugenmerk der weltweit tätigen Unternehmens WISTEMA liegt auf der Entwicklung und Lieferung von hochentwickelten Komponenten, die die Eigenschaften von Bitumen in seinen zahlreichen Anwendungsbereichen verbessern. Das Unternehmen muss die Integrität der Mischung nicht nur unmittelbar nach der Herstellung, sondern auch nach verschiedenen Arten und Graden der Alterung des Materials sorgfältig überprüfen. Das von Natur aus lichtundurchlässige Bitumen stellte schon immer ein erhebliches Hindernis für jede Form der direkten visuellen Analyse dar. Normalerweise wirkt die Oberfläche eines Bitumenquerschnitts bei der Entwicklung und Prüfung neuer Mischungskombinationen in einem Forschungs- und Entwicklungslabor oberflächlich betrachtet schwarz, ohne erkennbare physikalische Merkmale. In den letzten drei Jahrzehnten hat sich Nikon dieser Herausforderung verschrieben und seine Mikroskopietechnologie kontinuierlich weiterentwickelt und verfeinert, um den immer anspruchsvolleren Analyseanforderungen von Unternehmen wie WISTEMA gerecht zu werden und diese sogar zu übertreffen.
Mitte der 1990er Jahre hatte WISTEMA dank der Fluoreszenzmikroskope von Nikon, die mit einer Bogenlampe zur Beleuchtung und einer Filmkamera ausgestattet waren, erstmals die Möglichkeit, die grundlegende Mischungsqualität zu visualisieren, die durch gängige Modifikatoren erzielt wird. Damals konnten Versuche mit Bitumenproben, die von drei anderen potenziellen Instrumentenlieferanten durchgeführt wurden, keine brauchbaren Bilder liefern – im Wesentlichen waren sie einfach nur schwarz. Die innovativen Mikroskope von Nikon waren trotz ihrer Einschränkungen in der Lage, dunkle, aber dennoch deutlich erkennbare Fluoreszenzbilder zu erzeugen. Dieser erste, wenn auch noch recht rudimentäre Erfolg erwies sich als entscheidend, da er bei WISTEMA eine weitaus größere Neugier weckte und den Wunsch nach noch tieferen Einblicken in die geheimnisvollen Eigenschaften von Bitumen weckte. Die Möglichkeit, die Verteilung der wichtigen Zusatzstoffe auch nur ansatzweise wahrzunehmen, stellte eine erhebliche Verbesserung gegenüber früheren indirekten Analysen dar und ebnet den Weg für künftige Durchbrüche.
Mehr als ein Jahrzehnt später, um 2010, stellte Nikon eine neue Generation von Fluoreszenzmikroskopen vor, die einen entscheidenden Fortschritt in der Untersuchungsmethode mit sich brachte. Auslöser für diese Entwicklung war der dringende Bedarf in der metallverarbeitenden Industrie, insbesondere im Stahlsektor. Dort bestand ein Bedarf an einer besseren optischen metallurgischen Inspektion und präzisen Untersuchung. In diesem Bereich ist Nikon besonders stark, da das Unternehmen hochempfindliche digitale Mikroskopiesysteme entwickelt hat, die bei Verwendung von Dunkelfeldbeleuchtung beeindruckend klare Bilder liefern. Die optimierte Konfiguration verbesserte die Sichtbarkeit erheblich und ermöglichte eine deutlich klarere und differenziertere Darstellung der komplexen Bitumenstrukturen. Der Fortschritt in der Bildgebung war in erster Linie auf die Integration einer hochsensiblen Schwarzweiß-Vollformat-Digitalkamera von Nikon zurückzuführen (die übrigens auch den hohen Zeitaufwand für die Entwicklung von Filmen und den Druck von Fotos überflüssig macht), verbunden mit einer deutlich verbesserten Beleuchtungsquelle auf Basis von Leuchtdioden (LEDs).

Die Bilder sind atemberaubend. Sie sind scharf und klar, und wir lernen, sie immer besser zu interpretieren. Wenn wir genau verstehen, was da passiert, können wir neue Kombinationen von Zusatzstoffen entwickeln.“
– Bitumen-Experte Marc Beuken, ein Berater von WISTEMA
Dank dieser Weiterentwicklung konnte WISTEMA neuartige Bitumenmischungen mit einem Zusatzstoffanteil von nur fünf Volumenprozent (anstelle von 20 % oder mehr) untersuchen, die eine neuartige Zweiphasenstruktur bilden können. Die Idee war, eine Alternative zu geblasenem Bitumen zu schaffen, das bei hohen Temperaturen oxidiert wird, wodurch es fester, haltbarer und hitzebeständiger wird. Dieser Prozess stellt jedoch ein Gesundheits- und Sicherheitsrisiko dar. Es besteht der Verdacht, dass dabei Karzinogene entstehen, und es ist sicherlich nicht umweltfreundlich, während die hohen Temperaturen die Gefahr von Verbrennungen für die Mitarbeiter mit sich bringen. In der Branche gab es offensichtlich viele Gründe, nach Alternativen zu suchen.
Normalerweise hat Bitumen einen relativ niedrigen Erweichungspunkt zwischen 45 und 55 Grad Celsius. Die beträchtliche Hitze, die von einem konzentrierten Strahl der Bogenlampe des ersten Mikroskops von Nikon ausging und die erforderlich war, um die gewünschten Details zu erkennen, brachte das Material innerhalb von Sekunden zum Schmelzen. Die Inspektion der mehrphasigen Struktur, die theoretisch funktioniert, aber ohne Bilder nicht überprüft werden kann, wurde stark eingeschränkt. Im Vergleich dazu ermöglicht eine kühle LED-Beleuchtung eine längere Untersuchung der Probe unter dem Mikroskop und bietet somit mehr Möglichkeiten für die Analyse.
Vor kurzem stellte WISTEMA Nikon vor eine weitere interessante Herausforderung und schickte drei verschiedene, nicht identifizierte Bitumenproben an Nikon, die jeweils nur drei Volumenprozent unterschiedlicher Polymere enthielten. Als Dr. Peter Callsen, Gebietsverkaufsleiter bei Nikon Metrology in Düsseldorf, erste Versuche mit Mikroskopen unternahm, war zunächst nichts zu sehen. Durch das Testen verschiedener Beleuchtungstechniken und Kameras gelang es ihm, Fotos von den Mikrostrukturen in den Proben aufzunehmen. Zwar schmolz das Material weiterhin, jedoch nicht mehr so schnell wie zuvor. Neu war diesmal die Bereitstellung der NIS-Elements Software von Nikon, mit der die aufgenommenen Bilder in einem einfach einzurichtenden Arbeitsablauf digital verbessert werden können, um den Kontrast zu erhöhen und Merkmale in simuliertem 3D darzustellen. So kann beispielsweise ein kugelförmiger Einschluss wahrgenommen und gemessen werden, der zuvor nur als flacher Kreis erschien. WISTEMA verwendet die Softwareversion NIS-Elements BR (Basic Research), die eine schnelle und einfache interaktive Messung einzelner Objekte mit automatischer Kantenerkennung sowie die automatische Erkennung und Messung der Verteilung, Größe und anderer Merkmale einer großen Anzahl von Partikeln ermöglicht.
Der Bitumenexperte Marc Beuken, Berater bei WISTEMA, sagte: „Wir können nun nicht nur verschiedene Größen ballonartiger Einschlüsse erkennen, sondern auch ihre Umgebung, was sehr hilfreich ist, um herauszufinden, was im Inneren des Materials vor sich geht. Wir können auch die dendritischen kristallisierten Strukturen erkennen, die durch einige der Zusatzstoffe entstehen.“
„Die Bilder sind atemberaubend. Sie sind scharf und klar, und wir lernen, sie immer besser zu interpretieren. Wenn wir genau verstehen, was da passiert, können wir neue Kombinationen von Inhaltsstoffen entwickeln, um noch mehr Rezepturen zu finden, mit denen die Kunden von WISTEMA noch bessere Bitumenprodukte herstellen können.“

Nach erfolgreichem Abschluss der Versuche durch Dr. Callsen wurde direkt ein modernes Nikon LV150NA Mikroskop angeschafft, das mit einer hochentwickelten Fluoreszenzbeleuchtung ausgestattet ist und mit zwei Spezialfiltern für blau-violette und blaue Anregung geliefert wurde. Die Filter lassen jeweils eine bestimmte Emissionsfarbe durch, während sie die kürzere Anregungswellenlänge blockieren. Von einer Probe werden drei Fotos gemacht – eines zeigt die schwarz-weiße Oberfläche. Zusätzlich werden Bilder der beiden Komponenten aufgenommen, die in zwei verschiedenen Farben dargestellt werden, damit sie voneinander unterschieden werden können. Durch diese Art der Filtration erübrigt sich die bisherige zeitaufwändige Einstellung der Wellenlänge des Anregungslichts.
Dr. Michael Schukin, Regulatory Affairs Manager bei WISTEMA, der derzeit beim Aufbau einer neuen Bitumenforschungsabteilung im Forschungsund Entwicklungszentrum in Dielheim mitwirkt, bestätigte, dass zwei weitere potenzielle Mikroskoplieferanten die Gelegenheit erhielten, ein Angebot abzugeben, jedoch wie zuvor keine zufriedenstellenden Bilder vorweisen konnten. Er berichtete auch, dass das neueste Mikroskop von Nikon, das Anfang Juni 2025 geliefert wurde, sehr einfach zu bedienen ist, da viele Funktionen, darunter auch die Fokussierung, automatisiert sind. Nach Abschluss der Schulung waren die Bediener in der Lage, die Geräte innerhalb von ein bis zwei Wochen sicher zu bedienen.
Lars Friedel ist Geschäftsführer in zweiter Generation von WISTEMA, einem Familienunternehmen, das 1990 von seinen Eltern Winfried und Helena gegründet wurde. Das Unternehmen befasst sich mit Nebenprodukten (und Abfallprodukten) aus der petrochemischen Industrie, wobei Bitumen die schwerste Restkomponente ist, die nach der Destillation von Rohöl übrig bleibt. Zum Schluss erklärte er: „Obwohl wir uns im Laufe der Jahre auf verschiedene Bereiche der chemischen Industrie ausgeweitet haben, machen Additive für Bitumen nach wie vor den größten Teil unserer Aktivitäten aus.“
„Aufgrund der überragenden Qualität der Mikroskopieprodukte von Nikon waren wir im Laufe der Jahre stets Vorreiter dieser Technologie. Mit Marc Beuken als exklusivem Berater, der seine langjährige Erfahrung in diesem Bereich einbringt, sind wir nun bereit, die unangefochtene Führungsposition sowohl bei Additiven und Modifikatoren für hohe als auch für niedrige Volumina für eine optimale Bitumenproduktion zu übernehmen, um alle industriellen Anwendungen abzudecken.“
![Überlagerung aller drei Kanäle (drei Lichtwellenlängen): Grau ist das reflektierte Hellfeldbild der Probenoberfläche(weißes Licht, Wellenlänge ca. 450–700 nm). Da eine Schwarz-Weiß-Kamera verwendet wird, ist das Bild nur grau. Die Bitumeneinschlüsse sind jedoch deutlich als helle Kugeln zu erkennen, die von fluoreszierendem Material gleichmäßig umgeben sind. Dabei handelt es sich daher um die ideale Verteilung. Die grün-blaue Farbe des Aggregats resultiert aus der Überlagerung zweifarbiger Bilder. Das erste Farbbild zeigt die grüne Fluoreszenz (FITC-Fluoreszenzfilter: Anregungslicht ca. 475 nm [blau], emittiertes Licht ca. 520 nm [grün]), das zweite Farbbild zeigt die blaue Fluoreszenz (AQUA-Fluoreszenzfilter: blau-violettes Anregungslicht, ca. 420 nm, emittiertes Licht ca. 465 nm [blau]). 100-fache Vergrößerung.](https://industry.nikon.com/de-de/wp-content/uploads/sites/14/2025/12/Overlay-BrightfieldFITCAQUA.jpg)







