Il est difficile d’imaginer une tâche d’inspection plus difficile que celle consistant à examiner la répartition des addidifs et modificateurs incorporés dans un bitume à l’aide d’un microscope optique. Ils sont régulièrement utilisés pour conférer des caractéristiques spécifiques aux bitumes afin d’améliorer leurs performances fonctionnelles, économiques et environnementales. Les avantages dans les opérations de pavage et de couverture sont nombreux. L’ajout de polymères, de fibres, de charges et d’autres agents modifiant la morphologie des bitumes peut augmenter leur durabilité et la longévité, réduisant ainsi la fréquence des réparations. Il peut également en faciliter l’application, minimisant ainsi le gaspillage et permettant par exemple de créer des bâtis perméables facilitant le drainage.

L’Industrial Solutions Business Unit de Nikon Corporation global (www.industry.nikon.com) est donc fière d’avoir contribué à améliorer considérablement le contrôle qualité dans ce domaine, en collaboration avec l’un de ses clients, WISTEMA (https://en.wistema.de), spécialiste allemand des additifs et modificateurs bitumineux, basé à Dielheim, en Allemagne. Nikon et WISTEMA, c’est un partenariat de plus de 35 ans.
Après incorporation de divers ingrédients, notamment des polymères tels que le SBS (styrène-butadiène-styrène) et l’APP (polypropylène atactique), dans le bitume, ses propriétés intrinsèques sont considérablement améliorées. Notamment en termes de résistance à l’orniérage, de réduction de la fissuration à basse température et d’amélioration de l’adhérence. Il convient toutefois de comprendre l’influence des paramètres de mélange, tels que la température et le temps, sur la dispersion des additifs et leur interaction avec le bitume, afin d’optimiser les paramètres de fabrication et d’obtenir la structure et les performances idéales. Une dispersion uniforme des matériaux ajoutés dans toute la matrice est souhaitable, qu’ils se présentent sous forme globulaire ou dendritique, tandis que l’agglo-mération doit être évitée, car elle crée des points faibles qui compromettraient l’intégrité du bitume.

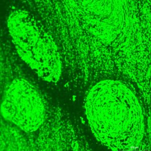
L’utilisation par WISTEMA d’un équipement de microscopie à fluorescence fourni par Nikon pour examiner les caractéristiques physiques du bitume après son traitement avec des additifs implique un procédé scientifique élaboré. Un échantillon du matériau est sectionné puis, sa face interne mainenant révélée est observée sous une lumière incidente haute fréquence pour comprendre comment les additifs ont été dispersés. Par chance, bon nombre de polymères sont intrinsèquement fluorescents ou peuvent le devenir après avoir été exposés à des longueurs d’onde spécifiques. À l’inverse, le bitume lui-même présente généralement une photoluminescence très faible, voire inexistante, quel q’en soit le type. La différence de propriétés permet aux chercheurs de distinguer visuellement le bitume, qui apparaît sombre ou noir à l’observation, de la phase riche en polymères, qui brille. Le microscope à fluorescence Nikon est capable de capter ces photons émis, générant une image qui révèle la forme, la taille et la distribution des inclusions dans la matrice hôte.
L’activité commerciale principale de l’organisation internationale WISTEMA consiste à développer et à fournir des ingrédients sophistiqués destinés à améliorer les propriétés du bitume dans ses nombreux usages. L’entreprise doit vérifier minutieusement l’intégrité du mélange, non seulement immédiatement après la production, mais également après que la matière a passé différents types et degrés de vieillissement. La nature intrinsèquement opaque du bitume a toujours constitué un obstacle majeur à toute forme d’analyse visuelle directe. Habituellement, lors du développement et des essais de nouvelles combinaisons de mélanges dans un laboratoire de R&D, la surface d’une coupe transversale de bitume semble noire à première vue, sans caractéristiques physiques discernables. Au cours des trois dernières décennies, Nikon a toujours su relever ce défi, en faisant évoluer et en perfectionnant sans cesse sa technologie de microscopie afin de s’aligner sur les exigences analytiques de plus en plus strictes d’entreprises telles que WISTEMA.
Au milieu des années 1990, des microscopes à fluorescence Nikon équipés d’une lampe à arc pour l’éclairage et d’une caméra argentique ont donné à WISTEMA l’occasion de visualiser pour la première fois la qualité fondamentale du mélange conférée par des modificateurs courants. À l’époque, les essais réalisés sur des échantillons de bitume par trois autres fournisseurs potentiels d’instruments n’ont pas permis d’obtenir des images exploitables : celles-ci étaient en effet entièrement noires. Les microscopes novateurs de Nikon furent capables de révéler des images fluorescentes certes quelque peu sombres, mais clairement discernables. Ce succès initial, bien que rudimentaire, s’est avéré déterminant, suscitant une curiosité beaucoup plus profonde chez WISTEMA et nourrissant le désir d’approfondir encore d’avantage leur connaissance des propriétés énigmatiques du bitume. Être désormais capable de percevoir, même faiblement, la répartition des additifs essentiels a marqué une amélioration significative par rapport aux analyses indirectes précédentes, ouvrant la voie à de futures avancées.

Les images sont époustouflantes. Elles sont nettes et claires, et nous continuons à apprendre à les interpréter. La compréhension fine de ce qui se passe nous permet de concevoir de nouvelles combinaisons d’ingrédients » – Marc Beuken, expert en bitume, consultant pour WISTEMA
Plus d’une décennie plus tard, vers 2010, Nikon lançait une nouvelle génération de microscopes à fluorescence, constituant une avancée révolutionnaire en matière de capacités d’observation. Cette avancée a été motivée par un besoin urgent dans l’industrie de la transformation des métaux, en particulier dans le secteur sidérurgique, d’améliorer l’inspection métallurgique optique et la précision des examens. C’est un domaine dans lequel Nikon excelle particulièrement, ayant développé des systèmes de microscopie numérique ultrasensibles qui produisent des images d’une netteté remarquable lors de l’utilisation de l’éclairage en champ sombre. La configuration perfectionnée a considérablement amélioré la visibilité, permettant une différenciation beaucoup plus claire et nuancée des structures bitumineuses complexes. Les progrès réalisés dans le domaine de l’imagerie sont principalement attribuables à cette époque à l’intégration par Nikon d’un appareil photo numérique noir et blanc plein format à très haute sensibilité (éliminant par ailleurs le temps nécessaire au développement des pellicules et à l’impression des photos), associé à une source d’éclairage nettement améliorée alimentée par des diodes électroluminescentes (LED).
Cette avancée a permis à WISTEMA d’étudier des mélanges de bitume de pointe contenant des additifs représentant seulement 5 % du volume total (au lieu de 20 % minimum pour les mélanges standards) et capables de produire une nouvelle structure biphasique. L’idée était de créer une alternative au bitume soufflé, qui subit une oxydation à haute température lui conférant résistance, durabilité et résistance à la chaleur. Cependant, ce processus est préjudiciable à la santé des opérateurs et à la sécurité sur les sites de production. Il est soupçonné de former des substances cancérigènes et dangereuses pour l’environnement.
De plus, les températures élevées de ce processus entraînent un risque de brûlures pour les opérateurs. L’industrie était donc nécessairement très demandeuse de recherche d’alternatives.
En principe, le bitume a un point de ramollissement relativement bas, compris entre 45 et 55 degrés Celsius. La chaleur considérable dégagée par le faisceau concentré de la lampe à arc du premier microscope Nikon, faisait fondre la matière en quelques secondes. Empêchant par la même l’inspection de la structure à plusieurs phases. La méthode, bien qu’efficace, en théorie, manquait d’images, il était par conséquent impossible de la valider. En comparaison, l’éclairage LED froid prolonge la durée pendant laquelle l’échantillon peut être examiné au microscope, ce qui offre d’avantage de possibilités d’analyse.
Dernièrement, WISTEMA a proposé un nouveau défi à Nikon trois échantillons non identifiés de bitume furent envoyés, chacun contenant seulement 3 % en volume de différents polymères. Lorsque Peter Callsen, responsable commercial régional au sein de Nikon Metrology à Dusseldorf, a réalisé les premiers essais au microscope, il n’y vit d’abord rien de particulier. En testant différentes techniques d’éclairage et différentes caméras, il a réussi à observer les microstructures des échantillons, malgré le problème persistant de la fusion du matériau, même si celle-ci n’était plus aussi rapide qu’auparavant. Son secret ? Le logiciel NIS-Elements de Nikon permettant, sans effort, d’améliorer numériquement les images capturées afin d’en exacerber le contraste et de révéler des caractéristiques en 3D jusqu’alors dissimulées. Ceci permet, par exemple, de percevoir et de mesurer une inclusion sphérique, visible sans traitement comme un cercle plat. Le logiciel utilisé entre autre par WISTEMA permet notamment des mesure interactive rapide et facile d’objets individuels grâce à la détection automatique des contours, ainsi que la reconnaissance et la mesure automatisée de la distribution, de la taille et d’autres caractéristiques d’un grand nombre de particules.
L’expert en bitume Marc Beuken, consultant pour WISTEMA a déclaré, « Nous pouvons désormais observer non seulement des inclusions de tailles diverses, mais également ce qui les entoure, ce qui aide considérablement à déterminer ce qui se passe à l’intérieur de la matière. Nous pouvons également observer les structures cristallines dendritiques résultant de l’action de certains additifs. »
« Les images sont époustouflantes. Elles sont nettes et claires, et nous continuons à apprendre à les interpréter. En comprenant de manière détaillée ce qui se passe, nous pouvons concevoir de nouvelles combinaisons d’ingrédients afin de développer encore plus de formules qui seront ensuite utilisées par les clients de WISTEMA pour fabriquer des produits bitumineux encore plus performants. »

La réussite des essais réalisés par Peter Callsen a été suivi de l’équipement par WISTEMA d’un microscope LV150NA Nikon, équipé d’un éclairage fluorescent avancé et livré avec deux filtres spécialisés pour l’excitation bleu-violet et bleu. Les filtres laissent passer une couleur d’émission spécifique tout en bloquant les longueurs d’onde d’excitation plus courtes. Trois photographies sont prises d’un échantillon : une montrant la surface en noir et blanc, plus des images supplémentaires des deux ingrédients, qui apparaissent sous deux couleurs différentes afin de permettre de les différencier. En utilisant la filtration de cette manière, il n’est plus nécessaire de passer du temps à ajuster la longueur d’onde de la lumière d’excitation.
Michael Schukin, responsable des affaires réglementaires chez WISTEMA, qui participe actuellement à la mise en place d’une nouvelle fonction de recherche sur le bitume au centre de R&D de Dielheim, a confirmé que deux autres fournisseurs potentiels de microscopes avaient pu soumissionner, mais qu’ils n’avaient pas réussi, comme précédemment, à fournir des images satisfaisantes. Il a également mentionné que le dernier microscope Nikon, livré début juin 2025, était très facile à utiliser, grâce à ses nombreuses fonctions automatiques, y compris la mise au point. Après une formation sur mesure, les opérateurs ont été en mesure d’utiliser l’équipement en toute confiance en l’espace d’une à deux semaines.
Lars Friedel représentant la deuxième génération de directeurs WISTEMA, une entreprise familiale créée en 1990 par ses parents, Winfried et Helena, afin d’étudier les flux secondaires (et les flux de déchets) issus des activités du secteur pétrochimique, le bitume étant la fraction la plus lourde qui reste après la distillation du pétrole brut. Il conclut : « Tout en ayant diversifié dernièrement nos activités dans différents domaines de l’industrie chimique, les additifs pour bitume représentent la plus grande partie de nos activités.
« Nous avons toujours été à la pointe de cette technologie au fil des ans, grâce à la supériorité des produits de microscopie de Nikon. Marc Beuken occupe désormais la fonction de consultant exclusif, et nous apporte son expertise sectorielle approfondie. Nous sommes ainsi prêts à prendre le leadership incontesté dans le domaine des additifs et des modificateurs à haut et faible volume pour une production optimale de bitume afin de répondre à toutes les applications industrielles. »
![Cette image est une superposition des trois canaux (trois longueurs d’onde lumineuses) : Le gris correspond à l’image en champ clair de la surface de l’échantillon (lumière blanche, longueur d’onde entre 450 et 700 nm environ). On utilise un appareil photo noir et blanc. L’image est alors uniquement grise. Les inclusions de bitume sont toutefois clairement visibles sous forme de sphères brillantes entourées d’agrégats fluorescents de manière homogène. Il s’agit par conséquent de la distribution idéale.La couleur vert-bleu de l’agrégat est obtenue par superposition d’images bicolores. La première image en couleur montre la fluorescence verte (filtre de fluorescence FITC : lumière d’excitation d’environ 475 nm [bleu], lumière émise d’environ 520 nm [vert]), la deuxième image en couleur montre la fluorescence bleue (filtre de fluorescence AQUA : lumière d’excitation bleu-violet, environ 420 nm, lumière émise d’environ 465 nm [bleu]). Zoom 100x.](https://industry.nikon.com/fr-fr/wp-content/uploads/sites/15/2026/01/Overlay-BrightfieldFITCAQUA.jpg)







